What are Allograft Biologics?
Allograft Biologics are tissues from another human that are injected or transplanted into a patient to improve or restore function of the patient’s body. There are a wide variety of allograft procedures that range from tissue transplantation surgical procedures requiring the patient to be on a tissue transplant waiting list, to procedures that use preserved tissue in a vial that can be injected in the office setting. All orthopedic transplant procedures do not require the use of immunosuppressive medications and generally do not require hospitalization. The rejection rate for allografts is generally less than 1%.
What are the different types of allograft biologics?
Cell/tissue procedures are typically categorized by the method of tissue processing
-
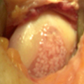
Fresh Osteochondral Transplantation: This cartilage transplantation procedure uses machined structural cartilage and bone to exactly replace the injured or diseased joint surface and requires the matching of a donor graft that must be used within a 14-day period. This surgical procedure may occasionally be performed arthroscopically, but generally requires a larger surgical incision.
-
Juvenile Chondrocyte Transplantation: Cartilage tissue from donors less than the age of 13 has an increased capacity to heal and grow in comparison to adult tissue. This technique can be performed arthroscopically (minimally invasive) with a one-hour procedure in the operating room. The tissue is placed into the cartilage defect and is held in place with fibrin (biologic) glue.
-
Meniscal Transplantation: MRI’s and transplant tissue databases are used to find the exact size-matched donor meniscus that is then placed into the knee during a 2-hour procedure. The meniscus is installed into the knee to allow healing and remodeling of the tissue over a 1-year period of time.
Will this be covered by my insurance?
Generally, insurance does cover the costs of Allograft Biologics. Even with insurance coverage, there can be costs associated with these procedures that can vary from $950 - >$5,000












